روز هفته صبح عصر
چهارشنبه ها - 15 - 20

ارتودنسی ثابت و جراحی فک و بینی

تاریخ ارسال : 1398/6/17 10:21:43 تعداد بازدید : 52,635 مرتبه
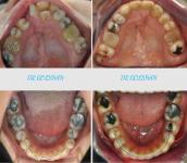
درمان ترکیب ارتودنسی ثابت و جراحی فک و بینی در مراجعه کننده با شکاف لب و کام، چانه بیرون زده، دندان های بشدت نامرتب، عدم تناسب لب ها و ناقرینگی صورت و بینی، مشکل در تکلم و جویدن
1/3

نظرسنجی
نظر شما در مورد عملکرد منشی در مطب چیست؟

خیلی بد
ضعیف
عالی
تماس با ما

کرمانشاه - دبیر اعظم - كوچه دبيراعظم ( زرافشاني) - ساختمان ارشيا - طبقه دوم - واحد سوم




08337293262 -
300011122222 info@dr-golshah.com