
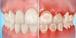
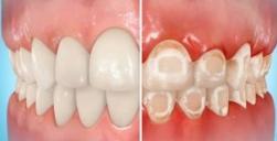
یکی از اثراتی که براکت ها روی دندان ها می گذارند لکه های سفید ناشی از براکت های ارتودنسی است که مات و گچ مانند به نظر می رسند؛ در حالی که ظاهر مینای معمولی دندان صاف و براق است. به این لکه ها ضایعات سفید دندانی (WLS) می گویند که به این دلیل ایجاد می شوند که اسید به مدت طولانی روی مینای دندان می ماند.
پیشگیری:
با اینکه برای فردی که براکت دارد کار مشکلی است، اما مسواک زدن و نخ دندان کشیدن به صورت روزانه برای جلوگیری از لکه های سفید ناشی از براکت های ارتودنسی از اهمیت زیادی برخوردار است. باید زمان بیشتری را صرف مسواک زدن کنید تا از دسترسی به همه قسمت های سیم ها و براکت ها مطمئن شوید.
می توانید با استفاده از مسواک ها و نخ دندان های مخصوص براکت یا واترجت های دندانی میزان تمیزی دندان ها را افزایش دهید. همچنین می توانید با کاهش مصرف غذاها و نوشیدنی های اسیدی مخصوصا نوشابه ها، قهوه یا غذاهای تند میزان اسید دهان را پایین نگه دارید.